3D靶向种植牙技术是众多种植技术中的一种,可以完美解决缺牙遗憾,种植出来...
【详细】
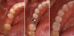
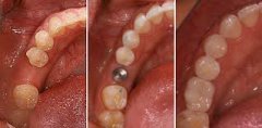
种植牙是目前修复牙齿缺失很有效的方式,具有其他牙齿修复方式不可媲美的优...
【详细】
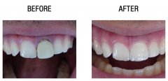
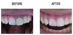
牙齿健康不但关乎美观,而且关乎我们的身体健康,牙齿健康不可忽视,前牙缺...
【详细】
种植牙拥有其他牙齿修复方式不可媲美的优点,成为解决牙齿缺失患者困扰的福...
【详细】
暨大穗华口腔专家指出:牙齿缺失不仅会影响着咀嚼功能,导致胃病,对身体造...
【详细】
多颗牙缺失给我们的生活带来了很大的麻烦,特别是对于一些上了年纪的老人,...
【详细】
俗话说身体是革命的本钱,牙齿健康关乎身体健康,如果半口牙缺失,连饮食都...
【详细】
种植牙作为修复牙齿缺失和牙齿美容的方法在当今被更多的人接受,种植牙有什...
【详细】
种植牙已成为牙齿修复的流行趋势,牙齿缺失患者都希望种植牙能够持久地使用...
【详细】
9月21日,历时9天、跨越5个校区、5500多名本科新生参与的本科新生训练营圆满闭...
【详细】