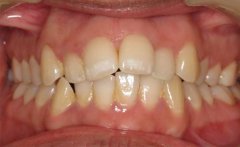
牙列拥挤的原因是什么?

牙列拥挤在人群中比较常见,在口内表现为牙齿的大小正常或过宽,牙呈各种方...【详细】
造成牙齿拥挤的原因

在现代牙齿整齐美观是一种生活态度,也是一种对美的追求,但牙齿拥挤在人群...【详细】
牙齿拥挤有哪些危害?

一口整洁美观的牙齿能够提升自身形象,让人产生自信心,对于人际交往和求职...【详细】
根管治疗有哪些优点?

根管治疗术能够针对牙髓或者根尖周病的患牙有很好的疗效,它摘除牙髓组织和...【详细】
根管治疗后为何要做牙冠?

根管治疗术能够针对牙髓或者根尖周病的患牙有很好的疗效,根管治疗,俗称抽...【详细】
根管治疗的优势和适应症

根管治疗术是现代对于治疗牙髓病和根尖周病有着非常好的疗效,它摘除牙髓组...【详细】
广州做根管治疗的价格是多少?

当患有牙髓炎或根尖周炎时,做根管治疗有非常好的疗效,并且能够保留住自身...【详细】
多颗牙缺失种植需要多少钱?

随着现代口腔医疗技术的发展,种植牙已经成为牙齿缺失的很好的修复方式,具...【详细】
多颗牙缺失怎么修复?

多颗牙缺失不可忽视,牙周病等原因引起的牙齿松动甚至脱落等情况常可导致多...【详细】
加强党性修养 推进“三严三实”

9月25日下午,暨南大学学习论坛第36期暨三严三实教育主题辅导报告会在曾宪梓...【详细】
版权:广州穗华口腔医院
备案号:粤ICP备15046903号
医疗广告审查证明文号:粤(A)广(2025)第1188号