美牙冠修复需要多少钱?

在现代社会,美牙冠修复能够很好解决牙齿畸形、色素牙还有牙齿缺损的问题,...【详细】
统一战线暑期学习班赴广西考察“海上丝绸之路

暑假期间,党委统战部举办2015年统一战线暑期学习班,蒋述卓书记率暨南大学...【详细】
暨南大学承办2015年“粤台学子中华情”交流活动

8月25日至30日,暨南大学和中山大学、广州中医药大学一道,承办了2015年粤台学...【详细】
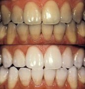
黑黄牙齿美白去哪个牙科医院好?

在现代,拥有一口健康美观的牙齿,是对自己形象的提升,自我形象的展现,但...【详细】
牙齿发黄是为什么?

在生活中,牙齿发黄让我们面临很多困扰,比如不敢面对别人绽放笑容,影响了...【详细】
病态的牙齿发黄有什么因素?

有些人在刷完牙后,牙齿呈现微微淡黄透亮的色泽,这是属于健康的情况,但是...【详细】
牙齿发黄怎样美白效果好?

拥有一口健康美观的牙齿是现代人的愿想,一口好牙能够为形象加分,能够让笑...【详细】
导致牙齿发黄的原因

牙齿发黄让人厌恶,影响口腔健康和形象美观,给生活带来了很多不便,不利于...【详细】
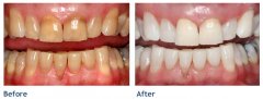
成年人有茶渍牙怎么快速美白?

小玲,26岁,已经到了可以谈婚论嫁的年龄了,家里给安排了几次相亲,在相亲...【详细】
如何摆脱色素牙?

现代人消遣方式很多,比如咖啡、红酒、吸烟,长期接触就会导致牙齿变色,成...【详细】
版权:广州穗华口腔医院
备案号:粤ICP备15046903号
医疗广告审查证明文号:粤(A)广(2025)第1188号