孩子什么时候矫牙好?

现代孩子很多都有牙列不齐、龅牙、地包天等牙齿畸形,家长们都担心不已,急...【详细】
成年人如何快速矫正龅牙呢?

成年人颌面骨骼生长发育已经完成,颌面部骨缝已变为骨性融合,可塑性很低,...【详细】
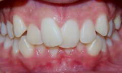
牙齿畸形是怎么产生的呢?

牙齿畸形有很多种,常见的错合畸形有:前牙后,俗称地包天;上颌、下颌以及...【详细】
牙齿矫正期间需要注意什么事项?

牙齿矫正是一个相对比较长的时期,在牙齿矫正期间需要注意一些事项,来达到...【详细】
多生牙怎么办?

多生牙由于一般都长在正常牙齿外面,容易使嘴唇突起,造成面部不协调,让人...【详细】
牙齿矫正能改变脸型吗?

现代,人们对美的追求更高了,谈到牙齿矫正,有人会疑问牙齿矫正会改变脸型...【详细】
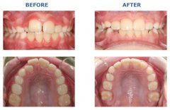
隐形矫正牙齿怎么样?

隐形矫正又叫隐形无托槽矫正,是现代牙齿矫正方式中非常有优势的一种,它没...【详细】
隐形矫正牙齿多少钱?

在现代隐形矫正牙齿的方法已经代替了以往了钢丝套牙了,隐形矫正牙齿隐形看...【详细】
(二)传承中华孝道美德 关注父母口腔健康

重阳节敬老爱老系列报道(二)之带着高位截瘫妈妈上大学 重阳佳节虽已过去...【详细】
传承中华孝道美德 关注父母口腔健康

暨南大学穗华口腔医院重阳节敬老爱老系列报道(一) 九九重阳节,浓浓敬老...【详细】
版权:广州穗华口腔医院
备案号:粤ICP备15046903号
医疗广告审查证明文号:粤(A)广(2025)第1188号