矫正龅牙要拔牙吗?

龅牙是临床上常见的牙齿畸形,大多数的患者表现为牙齿前突,形成一个弯弓弧...【详细】
矫正保持器价格是多少?

牙齿在矫正完成后,需要佩戴矫正保持器一段时间,以维护牙齿矫正的效果,很...【详细】
3D靶向种植术完美修复牙齿稀疏

有些人由于口腔疾病问题或者意外,造成牙齿脱落,牙齿变得稀疏,那么牙齿稀...【详细】
门牙缝大如何矫正?

不少人在牙齿的生长发育过程中,因为遗传或者不当的生活习惯导致门牙缝隙大...【详细】
牙齿难看怎么解决?

难看的牙齿,总是让我们不敢放声大笑,明星般的皓齿总是让我们羡慕不已。可...【详细】
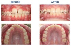
eBrace舌侧隐形矫正技术完美矫正牙齿前突

牙齿前突:一般表现就是牙齿突出于正常的范围之外,在闭合时会有一定的影响...【详细】
地包天矫正会痛吗?

很多人在咨询时都有这样的担忧,随着人们生活水平和审美意识的提高,现在选...【详细】
前牙拥挤怎么矫正效果好?

前牙过于拥挤不仅影响美观,而且平时清洁不够到位,会影响牙周炎、牙龈炎,...【详细】
牙齿矫正后为什么需要戴保持器?

牙齿矫正后只是万里长征走了一半, 接下来一定要戴保持器。因为此时牙齿在新...【详细】
做牙齿矫正会痛吗?

牙齿矫正是通过外力使牙齿排列整齐,会给人少许不适感,但想要变美多少还是...【详细】
版权:广州穗华口腔医院
备案号:粤ICP备15046903号
医疗广告审查证明文号:粤(A)广(2025)第1188号