影响种植牙效果有哪些因素?

牙齿在人类身体结构当中占据着非常重要的位置,它除了发挥食物消化的第一道...【详细】
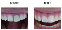
即刻种植修复技术效果怎么样?

种植牙按照植入时机分为延期种植牙和即刻种植牙,目前临床较普遍应用的是延...【详细】
种一颗大概需要多少钱?

当我们的牙齿缺失之后,会严重的影响到一个人的美观的问题,单颗牙齿缺失,...【详细】
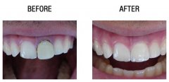
ALL-ON-4种植修复技术效果怎么样?

种植牙并不是真的种上一棵或几棵与天然牙一样的牙齿,而是以种植材料埋植到...【详细】
Beyond冷光美白技术完美解决色素牙

色素牙是因饮食、烟茶咖啡等附着于牙齿表面,黄或黑色,有的也是由于小时候...【详细】
牙齿上的烟渍怎么去除?

烟渍牙是一种牙齿色素沉淀的问题,是长期抽烟所导致的烟渍沉淀,牙齿上的烟...【详细】
抽烟黄牙如何变白?

现代都市抽烟是常见不过的了,很多男士有些女士都有抽烟的习惯,造成牙齿发...【详细】
黄牙美白需要多少钱?

黄牙非常影响外形美观,有了黄牙都想去美白,自然而然都会考虑到费用方面的...【详细】
美白咖啡牙需要多少费用?

喝咖啡已经成为现代都市的一种品质生活,在繁忙的工作、交际之余听一首轻音...【详细】
85届校友“相约三十年”,重叙“暨情”又话“暨

11月16日,暨南大学迎来了109岁生日。15日上午,来自海内外的数百名85届校友携...【详细】
版权:广州穗华口腔医院
备案号:粤ICP备15046903号
医疗广告审查证明文号:粤(A)广(2025)第1188号