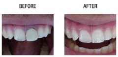
种一颗牙要多少钱?

种植牙在人们眼里非常神秘而价格高昂,但事实真是如此吗?其实,种植牙性能...【详细】
广州种植牙价格表

种植牙,一直以性能优良、外观逼真、使用时间长的形象出现在公众面前,然而...【详细】
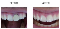
种植牙可以用一辈子吗?

对于许多牙齿缺失,有意通过种植牙修复牙齿的顾客来说,种植牙使用寿命是一...【详细】
假牙有哪些种类?

关于假牙,也许大家都有所印象。但可能不是人人都知道,假牙也分为很多种类...【详细】
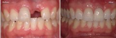
广州种牙一颗多少钱?

因为种种缘故,我们身边并不少见牙齿缺失的现象。但现在,我们可以不再发愁...【详细】
种植牙的危害有哪些?

随着口腔医学技术的逐渐提高,我们都曾听闻过种植牙的种种好处。可是,不少...【详细】
种植牙有什么弊处?

随着口腔医学技术的不断发展,越来越多的顾客选择了种植牙修复。那么种植牙...【详细】
种植牙危害有哪些?

随着现代口腔医学技术的不断提高,种植牙已经能完美修复牙齿缺失的问题了,...【详细】
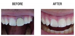
种植牙需要多长时间?

种植牙拥有近似真牙的外观和性能,使用寿命也长达几十年,许多牙缺失顾客都...【详细】
种植牙过程是怎么样的?

人到老年,往往面临许多难以启齿的烦恼。其中,全口牙缺失就是一种多见于中...【详细】
版权:广州穗华口腔医院
备案号:粤ICP备15046903号
医疗广告审查证明文号:粤(A)广(2025)第1188号