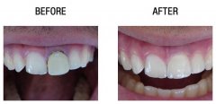
种植牙有哪些适应症?

牙齿缺失的情况在生活中是非常常见的,意外的原因导致牙齿缺失,年纪增长导...【详细】
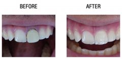
有牙周炎可以做种植牙吗?

种植牙是将纯钛金属经过精密的电脑设计,制造成牙根型的圆柱体,经由手术植...【详细】
牙齿为什么会缺失?

牙齿缺失的原因是多种多样的,常见的牙齿缺失,可能是龋齿或外力撞击造成的...【详细】
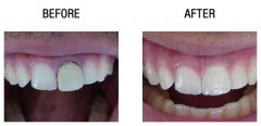
老人种植牙需要注意什么事项?

种植牙是通过医学方式,将与人体骨质兼容性高的纯钛金属经过精密的设计,制...【详细】
种植牙算贵吗?

很多人会觉得种植牙价格稍微偏高,但种过牙的患者都知道,价格跟效果是成正...【详细】
后牙种植要做牙片检查吗?

种植牙与传统的牙齿修复手段相比,更加稳固、不易移动而广受欢迎。但种植牙...【详细】
多颗牙齿缺失做种植后会松动吗?

种植牙是目前不错的多颗牙齿缺失修复的方法,不过不少人会担心牙齿种植后会...【详细】
不适合做种植牙有哪些人?

种植牙与传统的牙齿修复手段相比,更加稳固、不易移动而广受欢迎。但种植牙...【详细】
种植牙术后多久能吃东西呢?

种植牙是牙齿缺失修复的一种理想的方法,因不具破坏性、咀嚼能力大大的恢复...【详细】
种植牙过程麻烦吗?

种植牙是针对牙齿缺失的一种非常好的修复方法,因其不具破坏性,媲美天然牙...【详细】
版权:广州穗华口腔医院
备案号:粤ICP备15046903号
医疗广告审查证明文号:粤(A)广(2025)第1188号