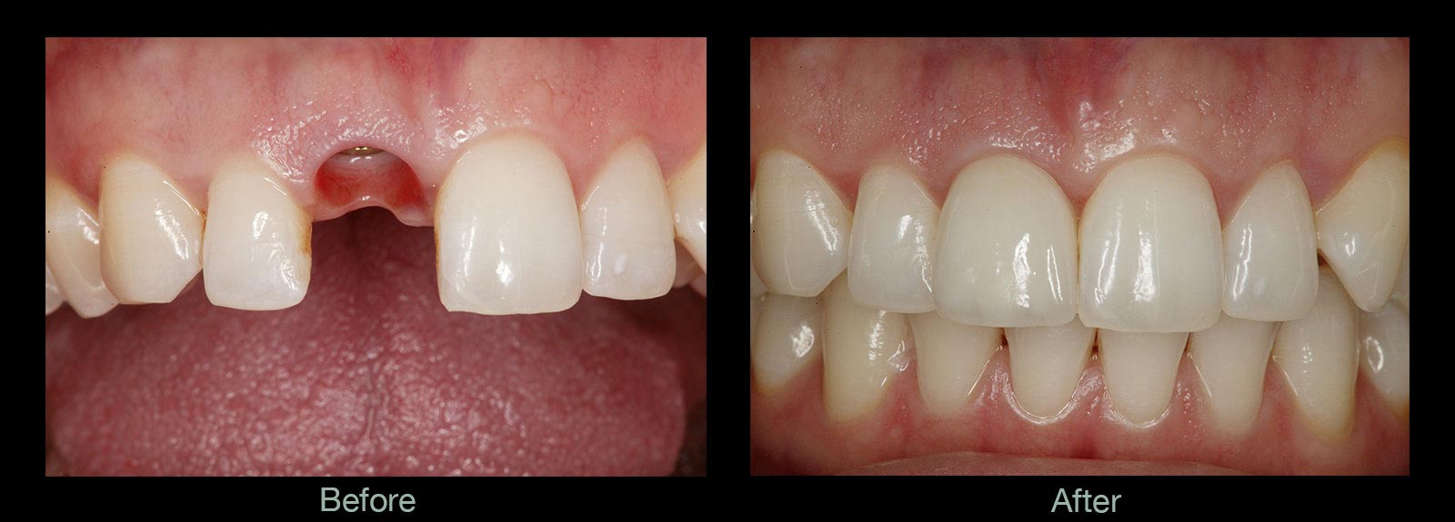
种植牙以其不可媲美的优越性,取代真牙行使口腔咀嚼功能,给缺牙患者带来了福音,受到广大缺牙患者的青睐,那么种植牙齿有危害吗?种植牙齿的危害是什么?下文请穗华口腔医院专家介绍一下。
穗华口腔专家介绍种植牙齿的危害是:
1、出血。许多牙医做完种植牙后都会告诉患者,出血时正常现象,但种植牙是一种微创手术,种完牙齿后,应该是没有出血的。如果牙医在粘骨膜剥离时损伤大或粘膜下剥离广泛,尤其是术后压迫不良,是会发生粘膜下或皮下出血的。
2、下嘴唇麻木。因为牙槽骨的下面就是神经,如果是把种植体种到后面,就会把那个神经破坏,所以为了保护神经,就把它种在神经的前面。但牙医在术中剥离时损伤颏神经,或种植体植入时直接创伤了下牙槽神经,那么患者就会出现下嘴唇麻木的情况。
3、伤口裂开。种植牙做完以后,医生需要缝合伤口,如果伤口没有缝合好,就有伤口裂开的可能,一旦出现伤口裂开,应该马上清洗伤口,马上进行缝合,以免发生感染。
4、伤口感染。在种植手术过程中由于消毒不当或是术后伤口缝合不好,导致伤口被污染,发生感染。
5、牙龈炎。如果种植牙设计不合理,会导致基台穿龈过少,或基台与桥架连接不良的情况,容易导致局部卫生状况差,时间久了就会引起牙龈炎。
6、种植牙折断。种植牙植入后,如果固定没有做好或者种植牙受到撞击,种植体就会出现松动甚至折断。
穗华口腔是您爱牙的放心之选
穗华口腔医院是拥有百年人文底蕴的
穗华口腔医院临床教学医院,是广东省卫生厅批准成立的一家口腔专科医院,是集口腔诊疗、教学和科研为一体的现代化口腔综合医院,组建了由多位博士生导师和国内外知名专家构成的专业口腔专家队伍,承诺永远以顾客的牙齿健康为必要因素,确保给顾客高性价比的口腔治疗。
温馨提醒:望闻问切是问医第一步,请向在线医生详细阐述您的问题,我们口腔医院专家在了解了您的状况后,将依据您的实际情况制定适合您的治疗方案。如果您还有什么问题或需要帮助,可在线咨询或拨打热线:020-62266666,将您的问题告诉在线医生,专家不仅能耐心为您分析解答,还能提供预约挂号的服务,让你就诊更方便快捷,“百度100遍,不如咨询一次”。