牙齿缺损在日常生活中时有发生,大多是由于外伤、口腔疾病等原因导致。牙齿缺损后不但影响面部美观,还会导致口腔咀嚼功能减退,造成消化不良。因此牙齿缺损后不能置之不理,要进行及时的修复。那么,牙齿修复需要多长时间?穗华口腔医院专家介绍,不同的牙齿缺损,修复的方法也不同,所花费的时间也不同。

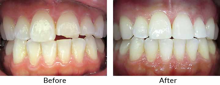
牙齿修复前后对比
穗华口腔专家介绍不同程度的牙体修复所需要的时间:
1.轻度牙齿缺损修复需要的时间:
牙齿缺损面积小的可以用充填法修复,充填法所使用的材料主要有玻璃离子、银汞合金以及光固化树脂等。如果是一颗的话很快的,1个小时就可以了。对于使用银贡合金材料补牙的要24小时后才能变硬凝固,而在这一天内是不能用此牙咬东西的。
2.中度牙齿缺损修复需要的时间:
牙齿缺损面积大用充填法不能修复的,可以用制作修复体的方法进行修复,修复体主要是全冠、嵌体和部分冠等。美容冠修复需要7天的时间,具有美牙不拔牙,无痛苦,时间短,牙齿坚固,多年后牙龈不会出现黑线等优点,从而达到终生有保障的美牙效果。
穗华口腔推荐全瓷美牙冠
杜绝黑线、相容性佳
牙龈边缘无黑线,无牙龈红肿出血现象,无不良金属离子渗出,完全不必担心崩裂的现象,生物相容性佳、无排斥,使用寿命较长。
美学设计、美观自然
根据患者的脸型、唇形、牙齿形态等进行个性化设计,32种比色,考虑整体美观及面部的协调性,与真牙无明显差异,不再有灯光下“青牙闪闪”的尴尬,笑容更自然。
3.重度牙齿缺损修复需要的时间:
重度的牙齿缺损,则要考虑烤瓷牙或种植牙,这两种修复方案不仅可以修复牙齿功能,还可以大大改善牙齿美观。烤瓷牙一般修复时间较短,只需7天的时间。而种植牙的修复效果好,但是时间是长的,经过种植牙术后3个月至6个月后,更换或安装永久牙冠或义齿。
穗华口腔推荐3D靶向种植术
3D靶向种植牙技术,是暨南大学多位种植名家多年积累的义齿修复技术和经验,与一系列国际前沿齿科设备结合的产物,应用意大利NewTom曲面断层扫描CBCT技术、德国WIELAND CAD/CAM计算机辅助设计与制作技术、美国Ambulanc笑气镇静镇痛系统、丹麦3shape 3D打印技术及3shape TRIOS激光扫描重建技术等,从5个方面打造穗华种植牙“40年预期留存率”超过90%的“长寿基因”!
* CT3D颌面扫描,定位更精准 * 华南领先牙周科,治好牙周更长寿
* 笑气镇痛更舒适,轻松享受 * 重建咬合更和谐,坚固耐用
穗华口腔是您爱牙的放心之选
穗华口腔医院是拥有百年人文底蕴的暨南大学附属口腔医院临床教学医院,是广东省卫生厅批准成立的口腔专科医院,是集口腔诊疗、教学和科研为一体的现代化口腔综合医院,组建了由多位博士生导师和国内外知名专家构成的专业口腔专家队伍,承诺永远以顾客的牙齿健康为必要因素,确保给顾客高性价比的口腔治疗。
温馨提醒:牙齿问题是不容忽视的问题,对于牙齿问题,我们应该尽早进行治疗,以免给我们的生活造成不必要的麻烦和困扰。如果您还有什么问题或需要帮助,可在线咨询或拨打热线:020-62266666,将您的问题告诉在线医生,专家不仅能耐心为您分析解答,还能提供预约挂号的服务,让你就诊更方便快捷,“百度100遍,不如咨询一次”。