对于贵金属烤瓷牙费用来说,因为其材料是采用金、银等贵金属,所以在费用上会比其他烤瓷牙放得要高,但是在不同地区不同患者做贵金属烤瓷牙费用却不是固定的,是受到其他因素干扰的。下文请听穗华口腔医院专家为大家介绍影响烤瓷牙价格的因素。

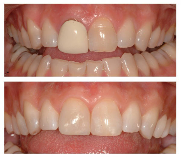
烤瓷牙修复前后对比
1、贵金属烤瓷牙材料选择不同
贵金属烤瓷牙主要是泛指,包括钯银合金烤瓷牙、钯金合金烤瓷牙、黄金烤瓷牙等,选择不同种类的烤瓷牙费用肯定就不会相同。
2、不同地区因素
在不同地区的经济消费能力不同,所以在不同地区对于贵金属烤瓷牙费用的制定就不同,同时在不同地区对于贵金属烤瓷牙的加工工艺不同,这样也是会影响到烤瓷牙费用的。
3、患者的情况不同
不同患者的牙齿受损程度不同,需要做烤瓷牙颗数不同,是否患有口腔炎症等不同因素都是会造成烤瓷牙费用不同的。
穗华口腔是您爱牙的放心之选
穗华口腔医院是拥有百年人文底蕴的暨南大学附属口腔医院临床教学医院,是广东省卫生厅批准成立的口腔专科医院,是集口腔诊疗、教学和科研为一体的现代化口腔综合医院,组建了由多位博士生导师和国内外知名专家构成的专业口腔专家队伍,承诺永远以顾客的牙齿健康为必要因素,确保给顾客高性价比的口腔治疗。
温馨提醒:牙齿问题是不容忽视的问题,对于牙齿问题,我们应该尽早进行治疗,以免给我们的生活造成不必要的麻烦和困扰。如果您还有什么问题或需要帮助,可在线咨询或拨打热线:020-62266666,将您的问题告诉在线医生,专家不仅能耐心为您分析解答,还能提供预约挂号的服务,让你就诊更方便快捷,“百度100遍,不如咨询一次”。