穗华口腔专家介绍,色素牙是人们常见的一种牙病,其实色素牙的产生因素很多,生活中很多不起眼的因素都会导致色素牙的产生,对于色素牙的预防大家只需要在生活中保持正常的刷牙清洁口腔的卫生就行了,那么色素牙有什么危害呢?下文请穗华口腔医院专家为大家色素牙的危害。
第一,不利于人际交流,患有色素牙的患者应该都明白即使没有口臭的问题,当别人看到自己口中的色素牙的时候也会顿时产生一种厌倦的感觉,所以不利于人际交流。
第二,口齿不清,色素牙还会导致患者生理上出现问题,在交流的过程中出现口齿不清的现象。
第三,引发健康隐患,色素牙还会导致患者的健康受损,色素牙会导致患者口腔的卫生不够清洁,细菌的滋生导致口腔疾病的发生。
第四,严重影响个人形象,色素牙的产生会导致患者的个人形象受损,当患者张口和他人说话时候很容易让对方感到不自然,有时候甚至让对方直接拒绝谈话,导致患者尴尬。

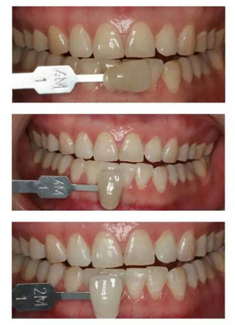
牙齿美白前后对比
穗华口腔专家介绍说,治疗色素牙好的方式之一就是美国皓齿美白技术。穗华口腔修复科皓齿美白技术采用恒温纳米光,是现阶段的牙齿美白技术。它在冷光美白的基础上,首创过氧化氢加硝酸钾和氟化物结合的美白方式,打破了传统冷光美白的局限性,克服了传统冷光美白时牙齿酸痛,美白后牙龈过敏的窘境,具有高效快速、保护牙齿、舒适无痛、效果持久等优点。
1、即刻美白。15分钟产生美白作用,缩短治疗时间,减少患者张口时长,美白程度迅速提高5-14个色阶。
2、健康环保。操作过程不接触牙龈,完全避免了对牙神经的伤害,同时对牙结构不会造成任何伤害。
3、自然美观。通过氟化剂保护牙齿,分解深层牙色素。让牙齿自然洁白,富光泽、有透明感。
4、持久美白。氟化剂促使牙釉质新生而形成对牙齿的保护,美白效果更加明显,更持久。
穗华口腔是您爱牙的放心之选
穗华口腔医院是拥有百年人文底蕴的暨南大学附属口腔医院临床教学医院,是广东省卫生厅批准成立的口腔专科医院,是集口腔诊疗、教学和科研为一体的现代化口腔综合医院,组建了由多位博士生导师和国内外知名专家构成的专业口腔专家队伍,承诺永远以顾客的牙齿健康为必要因素,确保给顾客高性价比的口腔治疗。
温馨提醒:牙齿问题是不容忽视的问题,对于牙齿问题,我们应该尽早进行治疗,以免给我们的生活造成不必要的麻烦和困扰。如果您还有什么问题或需要帮助,可在线咨询或拨打热线:020-62266666,将您的问题告诉在线医生,专家不仅能耐心为您分析解答,还能提供预约挂号的服务,让你就诊更方便快捷,“百度100遍,不如咨询一次”。