在进行牙周手术治疗后,患者还需进行适当的护理,才能恢复好牙周健康,那么牙周手术后怎么护理呢?下文请穗华口腔医院专家为大家介绍一下。

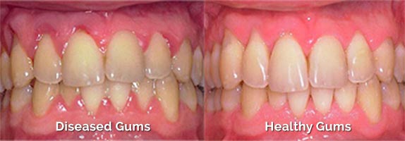
牙周治疗前后对比
穗华口腔专家介绍说:口腔卫生不良、饮酒及进食粗糙食物会导致手术愈合不良、术后感染并因此影响手术效果。患者在术后可能出现的不良反应,应用漱口水和抗生素控制出血、感染等并发症,必须强调菌斑控制的重要性。通常术后牙齿松动会暂时增加,伴有咀嚼不适,牙齿对冷、热、甜、酸的食物饮料敏感,术后牙龈退缩使得牙齿看起来变长,牙间缝隙变大。术后应妥善处理根面敏感症状。
吸烟是牙周疾病治疗的主要危险因素之一,将减弱机体抵抗致病菌的能力,导致手术愈合时间延长,影响牙周病治疗效果,因此,劝说患者戒烟是治疗计划中的一个重要部分。
术后疼痛是牙周手术带来的常见的症状,大约有73.5 % 的患者经历牙周术后疼痛, 21.0%的患者发生了严重的术后疼痛。在轻度术后疼痛中可应用单独使用阿司匹林类的药物;作为非处方药物,布洛芬适于治疗轻症疼痛;中等疼痛则可应用非甾体类抗炎药物;对于严重的术后疼痛,联合用药是有效的解决方式。
牙周手术后感染发生率极低,虽然有骨成形或骨切除手术患者的感染发生率稍高于单纯翻瓣手术,但无统计学意义,因此, 采用预防性抗菌素治疗是无益的。
穗华口腔是您爱牙的放心之选
穗华口腔医院是拥有百年人文底蕴的暨南大学附属口腔医院临床教学医院,是广东省卫生厅批准成立的口腔专科医院,是集口腔诊疗、教学和科研为一体的现代化口腔综合医院,承诺永远以顾客的牙齿健康为必要因素,确保给顾客高性价比的口腔治疗,如果您还有什么问题或需要帮助,可在线咨询或拨打热线:020-62266666,将您的问题告诉在线医生,专家不仅能耐心为您分析解答,还能提供预约挂号的服务,让你就诊更方便快捷,“百度100遍,不如咨询一次”。