老百姓普遍知道蛀牙的危害,却不知道牙周病才是牙齿健康的大“杀手”。临床中,牙周病早期症状并不明显,容易让人掉以轻心。一旦发作,往往是整排牙齿脱落,严重的甚至满口掉牙。调查显示:牙周病视局部炎症的轻重及范围,主要分为牙龈炎和牙周炎二大类,是目前导致成年人牙齿脱落的主要原因。

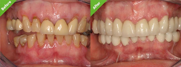
牙周病治疗前后对比
得了牙周疾病,治疗要分四阶段
牙周病的危害不仅仅局限于口腔,而且牙周病所造成的各种口腔损伤是不可逆的,因此一旦患上就应该及时进行治疗。牙周病治疗的主要目的是消除牙菌斑、消除炎症,使牙周组织能够长期行使良好的功能。
其治疗过程一般分为基础治疗、手术治疗、修复治疗以及维护治疗4个阶段。治疗过程以及方法视牙周病的严重程度而定。其中,修复治疗的方式一般有三种:活动牙、烤瓷牙以及种植牙。
穗华口腔牙周病采用“三微一体”健康疗法
穗华口腔牙周病科在国内将“三微一体”数字诊疗法引入临床治疗,治疗牙周病等病例,均取得了良好的效果,积累了丰富的经验,达到国际水平。同时,目前我专科每年诊治省内大量转诊口腔修复疑难病例,已成为华南地区处理疑难病例及失败后再处理病例的上级专科。
“三微一体”健康疗法的优点:
1、微创:采用德国迪珥Vector牙周治疗仪,其高频微震动的治疗方式,可极大地减少创口的面积,减少对口腔的伤害,术后可在很短的时间内得到恢复。
2、微痛:除德国迪珥Vector牙周治疗仪外,科室还采用了国际先进的Ambulanc笑气镇静镇痛系统和美国STA无痛麻醉系统,在治疗的过程中极大地缓解患者的疼痛感,让患者在一种舒雅的状态下完成整个治疗过程。
3、微出血:一流的国际先进设备加上卓越的专家团队,20年以上的临床教学科研经验,在手法和细节的操控上严格控制出血量,真正做到了一般专家难以企及的高度和深度。
温馨提示:牙周病是一种顽固性的口腔疾病,想要治疗好,除了需要医生的高超技术,还需要坚持不懈的日常保健,日常保健甚至比治疗还重要。患者应当使用正确的刷牙方式,并且定期洁牙上药。详情请拨电话或登示网址咨询。如果您还有什么问题或需要帮助,可在线咨询或拨打热线:020-62266666,将您的问题告诉在线医生,专家不仅能耐心为您分析解答,还能提供预约挂号的服务,让你就诊更方便快捷,“百度100遍,不如咨询一次”。